Com Prof. Me Heitor Cosenza
capaz de atuar na Implantodontia,
periodontia e prótese.
Criado pelo Prof. Ms. Heitor Cosenza, o Dental Guru nasceu em 2018 com a proposta de auxiliar dentistas que tiveram algum conteúdo falho na sua especialização facilitando assim, o estudo e a preparação dos dentistas.
Aqui no Dental Guru você encontra tudo que precisa para praticar uma odontologia de excelência.
A nossa plataforma conta com programas de
FASE 01
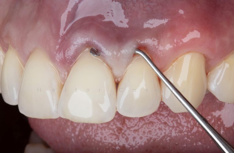
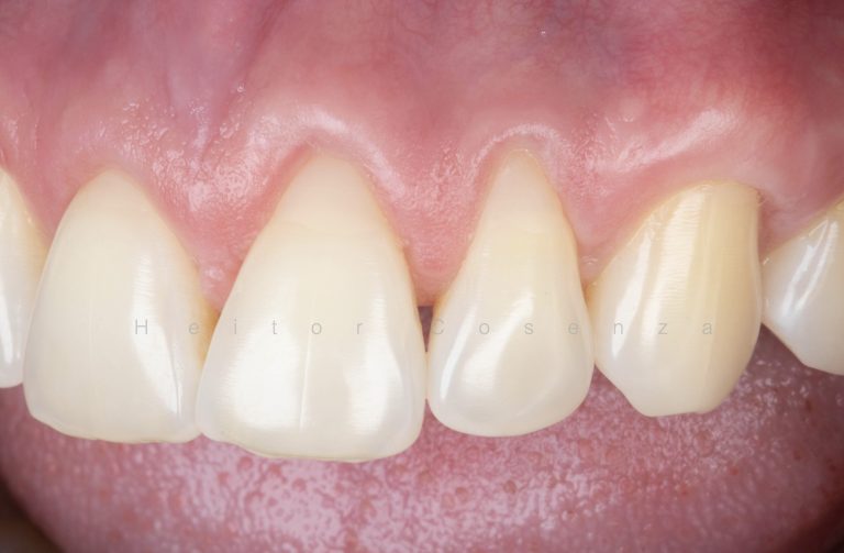
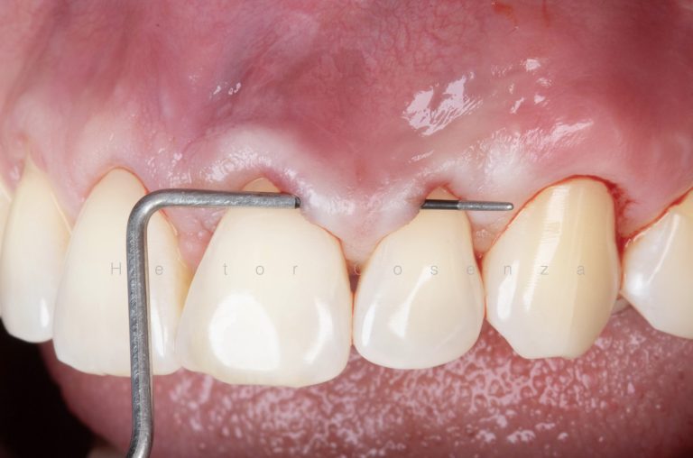
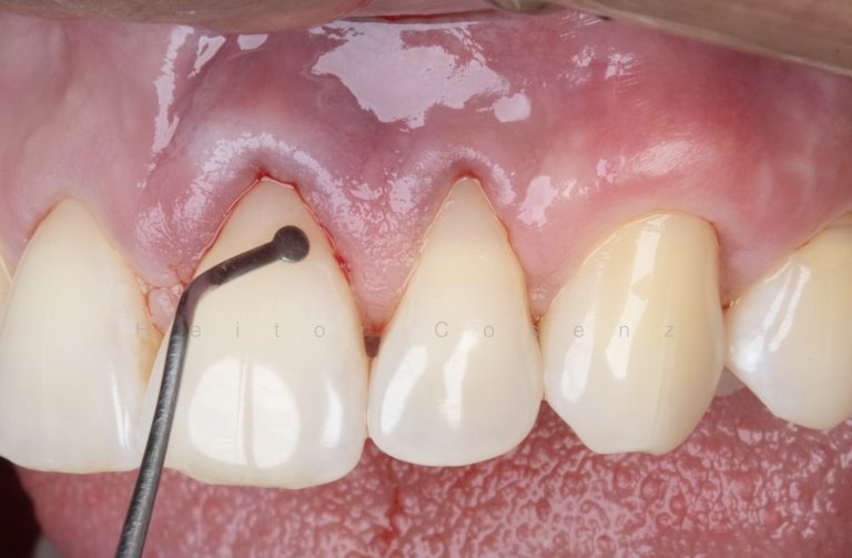
Documentação profissional dos casos clínicos particulares
Você nunca vai ver um caso clínico gravado com celular porque ele não é adequado para gravar videos macro e micro. Utilizamos uma câmera 4k e uma lente específica para não perder nenhum detalhe. Fotografamos com câmera profissional e estúdio. A qualidade e a nitidez das imagens importa muito e cuidamos disto nos mínimos detalhes.
FASE 02
Gravação das aulas em estúdio
Iniciamos a documentação com video em 2006 e passamos a gravar aulas para disponibilizar online em 2015. Temos expertise para tornar a experiência de assistir um curso online algo prazeroso. Imagens em alta definição, videos gravados e editados com alta qualidade audiovisual e uma didática direto ao ponto, para que você não perca seu tempo.
FASE 03
Transmissões ao vivo
Fazemos semanalmente, transmissões de procedimentos ao vivo. Basta você acessar a nossa agenda pública para saber quando serão transmitidos. Os procedimentos ao vivo ficam por 24h no ar, para você poder assistir fora do horário comercial.
FASE 02
Streaming pela Web e pelo aplicativo
Hospedamos o Dental Guru no Dental Space. Uma plataforma que te permite assistir
em diferentes velocidades, que lembra onde você parou e que marca os vídeos assistidos.
A cada etapa completada, você pode emitir seu próprio certificado. Se você quer estudar
onde não há internet, é possível fazer download dos vídeos para assistir Off-line e é possível ouvir os vídeos com a tela bloqueada.
Com Prof. Me Heitor Cosenza
Especialista em Implantodontia
Mestre em Implantodontia
Autor do Livro Protocolo Imediato 360˚
Fundador da Escola de Pós-Graduação Delva Education
Coordenador de Cursos de Especialização em Implantodontia e Prótese (mais de 15 turmas formadas)
Uma vez que você ganha confiança no seu trabalho, você vai ter segurança para passar orçamentos mais altos e criar verdadeiras experiências de sucesso.
Na Odontologia você não precisa ser um expert em propaganda, você precisa ser uma dentista de excelência, e assim vai encantar e fidelizar clientes, fazendo com que eles nunca mais procurem outro profissional e passem a indicá-lo como referência.
Na cirurgia, você ainda poderá tornar-se referência para outros dentistas, trazendo um cliente de indicação, mais fácil de vender com valor agregado e de convencer a fazer o tratamento completo.
Copyright Dental Guru Ltda – Todos os direitos reservados
Nosso objetivo é elevar o ensino, qualificando dentistas ao mais alto nível.
Procedimentos de











Procedimentos de




Procedimentos de




e conhecer o Método Guru de ensino?
Se cadastre
Conheça o
Entenda os passos para você sair do zero e alcançar uma posição de liderança entre os dentistas. O plano de carreira do Dental Guru tem como objetivo te fazer ir além, tornando-o uma referência tanto do ponto de vista técnico como empresarial.
Amplie a sua visão para a sua profissão e entenda que ser um bom profissional é só o básico. Você precisa se posicionar na sua comunidade e isto pode ser feito através de um treinamento para dar cursos.
Caso ser professor não esteja nos seus objetivos, você pode pular esta etapa e iniciar a sua clínica empresarial, escalando seu faturamento sem comprometer o seu tempo. Entenda com atenção as fases do plano de carreira.
Clique aqui e fale com a nossa equipe:
Copyright Dental Guru Ltda – Todos os direitos reservados